Inside Business Management | Marketing Lab Management Hit Your Target Market March 01, 2012 5 min read
Inside Business Management | Marketing Lab Management Difficult Transactions By Bruce Bryen, CPA March 01, 2012 5 min read
Inside Business Management | Marketing Lab Management Social Networking: Wasted Opportunity or Waste of Time? By Mona Zemsky March 01, 2012 4 min read
Collaborative Cases (peer-reviewed, CE-accredited) Implants Prosthodontics Laboratory Materials A High-Strength, Metal-Free Alternative to Traditional Denture Prostheses By Stan Lott, CDT March 01, 2012 7 min read
Collaborative Cases (peer-reviewed, CE-accredited) Laboratory Materials Material Considerations March 01, 2012 4 min read
Workshop Removables Prosthodontics Digitally-designed RPD Framework By Robert Kreyer, CDTJr. March 01, 2012 5 min read
TechEdge Industry Laboratory Materials Machinable Zirconia By Russell Giordano II, DMDDMD March 01, 2012 14 min read
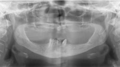
Continuing Education Implants Placement of Immediate Implants and a Fixed Provisional Restoration to Replace the four Mandibular Incisors By Dennis P. Tarnow, DDS, Jonathan Zamzok, DMD, Marion Brown, DMD, Richard B. Smith, DDS, Stephen J. Chu, DMD March 01, 2012