Inside Business Management | Marketing Lab Management Finding Your Ideal Customer By Nick Azar December 01, 2012 6 min read
Inside Business Management | Marketing Lab Management Creating Meaningful Measurement is More than Numbers By Deborah Curson-Vieira December 01, 2012 5 min read
Inside Business Management | Marketing Lab Management Cross-Channel Marketing December 01, 2012 5 min read
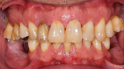
Continuing Education Crown and Bridge Restorative Indirect The Process Behind Altering Vertical Dimension By Jeffrey S. Rouse, DDS December 01, 2012
Workshop Removables Prosthodontics Case Studies Solving a Complicated Prosthetic Case By Robert Kreyer, CDTJr., Yulia Gafurov, CDT December 01, 2012 8 min read
Collaborative Cases (peer-reviewed, CE-accredited) Case Studies Laboratory Materials Prosthodontics Saving Money and Time with Composites By Robert Sarno, CDT December 01, 2012 12 min read
Collaborative Cases (peer-reviewed, CE-accredited) Crown and Bridge Restorative Indirect Case Studies Maximum Custom Shade Matching for Laterals By Luke S. Khang, CDT December 01, 2012 6 min read
TechEdge Industry CAD | CAM Equipment Digital Impression Technology By David Avery, AASCDTCDTCDT December 01, 2012 9 min read
Step-by-Step Traditional Processes Meet Innovative Materials By Robert Winkelman, CDT December 01, 2012 4 min read