Cover Story Implants IMPLANT ABCs By Domenico Cascione, CDTCDT, Mamaly Reshad, DDS, Victor Castro, CDT, Wesam Salha, DDS November 18, 2024 18 min read
In Focus Affordable New 3Shape Laboratory Scanners to Meet Your Needs and Budget March 01, 2017 3 min read
Inside Business Business Management How the Internet Changed the Way Small Laboratories Approach Customer Retention By Nick Azar March 01, 2017 7 min read
Inside Business Business Management Multi-Generational Customer Service By Deborah Curson-Vieira March 01, 2017 5 min read
Continuing Education CAD | CAM Materials Radiation Levels in Millable Zirconia Materials By Gregg A. Helvey, DDSDDS March 01, 2017
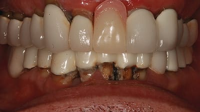
MasterClass Implants Removables CAD | CAM A New Digital Solution for Implant-Supported Restorations By Stephen F. Balshi, MBE, Thomas J. Balshi, DDSDDS March 01, 2017 10 min read
TechEdge Industry CAD | CAM 3D Printing: No Longer Just an Experiment By Don Albensi Jr. and Chris Halke March 01, 2017 10 min read
Tech Insider Missouri Laboratory Keeps With Tradition By Staying on Cutting Edge March 01, 2017 5 min read
Tech Insider Affordable, High-Quality 3D Printing for Laboratories of all Sizes March 01, 2017 3 min read
Peer-to-Peer New Pressable Glass-Ceramic Offers Unprecedented Efficiency, Esthetics By Chess Moore, CDT March 01, 2017 4 min read
Peer-to-Peer A Full-Arch Restorative Solution with No Screw-Access Holes By Tom Wiand, CDT March 01, 2017 4 min read
Collaboration Implants Implant Considerations By Lee Ann Brady, DMD, Rob Maatta, CDT March 01, 2017 4 min read