Cover Story Cover Stories CAD | CAM Production Strategies Powers Combined By Jason Mazda November 18, 2024 10 min read
Continuing Education Anti-Snoring and Sleep Apnea Dental Appliances By Laura Andreescu, MBA January 01, 2022
MasterClass Crown and Bridge Decision-Making in Comprehensive Dentistry By Kris K. Swanson, DDS January 01, 2022 15 min read
TechEdge Industry Materials Evolving Chemistries, Expanding Applications By Stephanie Benight, PhD January 01, 2022 4 min read
Peer-to-Peer Compliant, Validated, and the Highest Quality By Minh Tran, RDT January 01, 2022 4 min read
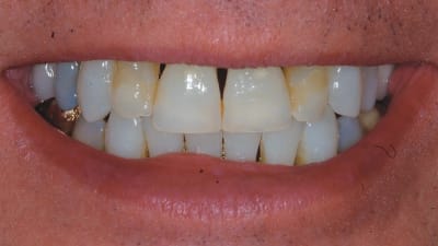
Elevate and Inspire Perception Is Our Reality By Daniel Alter, MSc, MDT, CDT January 01, 2022 3 min read