Cover Story Feature Spotlight The Shape-Shifting Roles of In-House Techs By Lisa Astor The in-house dental technician role is no longer one-size-fits-all—it’s now an evolving response to the needs, goals, and values of each practice. June 01, 2025 10 min read
Editor's Letter Business | Practice Management Practice Management Business Management Lab Management Viewpoint Opinion A Shift in Strategy By Peter Pizzi, MDT, CDT Peter Pizzi, MDT, CDT, emphasizes how a shift in strategy helped the local bookstore industry, and how it could impact dental businesses. June 01, 2025 2 min read
First Look Innovations Lab Management 3D Printing | Laser Sintering Scanners CAD | CAM First Look at Innovations Coming to Market A first look at dental lab innovations about the hit the market. June 01, 2025 2 min read
Continuing Education Digital Imaging CAD | CAM Leveraging Digital Smile Design Technology in Esthetic Restorative Dentistry By Macarena Rivera, DMD, MSc, Victor Romero, CDT, Markus B. Blatz, DMD, PhD The authors explore the advantages of digital smile design in alignment with the key principles of smile design and facial harmony. June 01, 2025
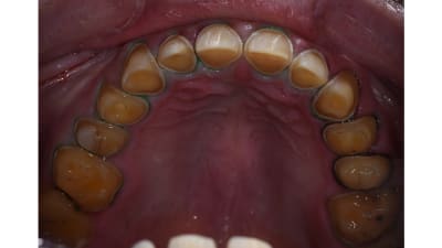
MasterClass Restorative Restorative Direct Diagnostically Driven Comprehensive Full-Mouth Rehabilitation By Dane Avondoglio, MS, DMD, Peter Pizzi, MDT, CDT In this case, consideration of the patient’s medical and dental history led to a diagnosis that explained the tooth wear and helped the patient’s sleep bruxism. June 01, 2025 13 min read
TechEdge Industry Lab Management 3D Printing | Laser Sintering Controlling Print Precision in the Dental Lab By Steve Lombardi What technicians should understand about 3D printing from an engineer’s point of view June 01, 2025 7 min read
TechEdge Showcase 3D Printing | Laser Sintering Buyer's Guide for 3D Printers A look at the latest 3D printers on the market June 01, 2025 3 min read
Elevate and Inspire Viewpoint Lab Management Business Management Strategizing Your Time, The Greatest Asset By Daniel Alter, MSc, MDT, CDT Daniel Alter, MSc, MDT, CDT, explains that how you choose to spend your time determines the success of your lab. June 01, 2025 3 min read