Restoring Smiles, Reviving Confidence
The Art of Porcelain Microlayering
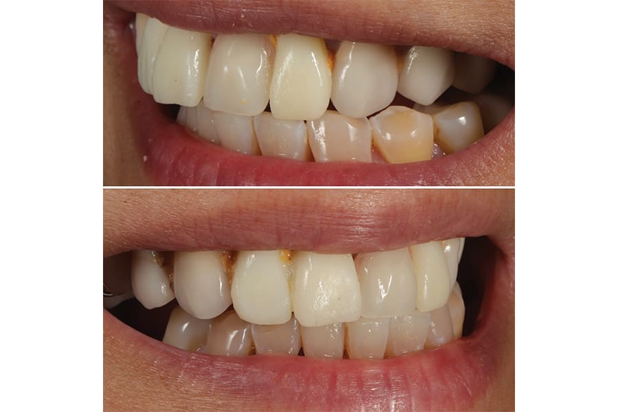
Consultation: Meet patient D—a middle aged woman who had her upper anterior teeth restored 20 years ago and has disliked her smile ever since (Figure 1). Now, more than 2 decades later, she returned with a fractured central incisor that required an implant. She ultimately chose to replace both her central and lateral incisors, keeping the old restorations on her canines intact.
When I was called in for a brief consultation and shade selection, I found myself at a loss—not because she was uncooperative, but because she couldn’t clearly articulate any features she did or didn’t like about her old crowns.
As a dental technician, I understand that most patients don’t know how to evaluate or communicate their esthetic expectations. That’s why I ask guiding questions: Do you like the current length? What about the shade—brighter or more natural? Do you have a photo reference? But patient D only had one response: “I don’t know.”
She explained that she hadn’t smiled properly in a very long time, constantly anxious about how her teeth looked (Figure 2). This woman had spent a significant amount of money on something she unfortunately regretted. I felt deeply empathetic. Her inability to pinpoint what bothered her, however, made it difficult for me to determine the approach for her restoration.
With further prompting and discussion, she mentioned that she liked her temporary flipper, which was shorter and slightly brighter than her original crowns. Her natural lower teeth were heavily stained, so I disregarded them entirely during the consultation. The dentist and I showed her a few shades from both the VITA classical and 3D-MASTER® shade guides. She didn’t like the bleached shades (0M1–0M3) but gravitated toward a more natural white, ultimately settling with our help on 2M1 (Figure 3). The rest, however, was left up to me.
Design Planning
Back at the lab, I analyzed this case and drew several conclusions: First, her teeth were too bulky facially. They pushed her lip out in an unnatural way. Flattening them slightly and curving the incisal edges inward would help correct this issue. Second, the crowns were too long. One canine was longer than the other, and the original crowns matched the length of the longer one.
I decided to shorten the central incisors, making them slightly shorter than her shortest canine for better balance. I also considered her preference for the flipper’s shorter length and the feminine curvature of her original crowns, so I elected to keep the overall shape but make it more refined, with added texture on the facial surface.
Finally, while her original crowns were close to a low-value 2M1, I wanted to make the new ones slightly brighter, while still maintaining a natural, “age-appropriate” shade. Her crowned canines had a harsh transition between the gingival and middle thirds (2M3 abruptly to 2M1). I opted for a softer, more natural gradient to eliminate this abrupt color change. Once I had a plan in mind, I started on the case.
Digital Design
The first step was to cover the titanium abutment with a zirconia one. The crowns already needed to be flattened to reduce bulkiness, but I didn’t want the shade of the patient’s stump or the titanium implant to shine through and alter the color of the zirconia. By designing a zirconia abutment to be cemented onto the titanium one, the risk of a grey zirconia core was eliminated.
Prior to sintering, I applied a white opaque liquid to the intaglio surface of the crowns. This helped to further mask the underlying shade of the remaining tooth and left a clean, white base to work with. I also used a small amount of pre-sinter stain on the zirconia abutment to bring warmth into the implant restoration (Figure 4). However, even the tiniest bit of applied stain shined through the zirconia crown, slightly altering the shade. Luckily this wasn’t a major issue, as I still needed to stain the remaining zirconia crowns before porcelain application to achieve a warmer basal color.
Microlayering is one of my favorite techniques when a case allows for it because it allows for natural, esthetic-looking restorations without compromising strength. I prefer having a highly polished zirconia lingual wall to protect the opposing teeth in excursive movements. Patient D had a significant overbite, so I wanted to ensure the porcelain would be protected.
When designing this case, I flattened the facial surface and left ample room to apply porcelain—especially at the gingival third (where the chroma is established) and at the incisal third (where translucency and age characteristics are shown). To achieve this, the zirconia was reduced to about a 0.6-mm thickness at the gingival and middle third to create a “channel” right below the incisal edge. This gave me the necessary space to stain and stack the porcelain internally. I designed “mamelon-like” structures in the incisal third to break up the surface and create uneven light reflections—although true mamelons should likely not be present at patient D’s age, and incisal translucency should ideally be minimal (Figure 5).
Every patient is different and should be treated individually, which is why comprehensive consultations, high-quality dental photography, and strong lab–clinic communication are all essential to completing a successful esthetic anterior case.
Internal Stain
For this case, I decided to use VITA’s new YZ MT (Multi-Translucent) zirconia (Figure 6). It is a multi-layered, multi-gradient 4Y–5Y zirconia with 46% to 50% translucency that is available in a wide range of shades perfectly matched to the VITA shade guides.
I selected an A2 shade and positioned it higher in the puck to achieve more translucency and less chroma, resulting in a slightly lower value. This choice complemented her grey-tinged crowned canines, which were likely caused by the underlying lithium disilicate substructure combined with a thick layer of translucent enamel porcelain.
I prefer slightly more chromatic shades—whether for internal staining, dentin layering, or zirconia selection—as the addition of enamels and translucent layers predictably lightens the final restoration (Figure 7).
When internally staining a micro-layered restoration, I begin by lightly glazing the porcelain-bearing surface to fill in micro-porosities and reduce surface tension, ensuring a smooth stain application. This also requires the glaze not be too wet, or else the stains will run and mix together.
Next, I established the body shade, going slightly darker than usual for this case to offset the lighter porcelains and enamels planned for later. I applied ES04 (yellow) at the gingival third and feathered it into the middle third, creating a soft gradient. Because we were aiming for a 2M1 shade with minimal details, I skipped adding dark stains at the neck or interproximals (Figure 8).
I applied ES11 (blue) to the crown’s incisal corners and down the line angles. To mimic a deeper translucency, I mixed ES13 (light grey) with ES14 (black) to create a dark grey that I placed in small sections beneath the incisal edge. Beside these dark grey areas I applied ES07 (greenish-yellow) for contrast.
The underlying prep shape created a harsh outline in the zirconia, so I “floated” ES02 (cream) upward to reduce the appearance of outlines. Finally, I added ES02 along the incisal edge to form a subtle halo effect.
Once satisfied with the staining, I sprinkled Effect Liner 2 over the surface to enhance the fluorescence, then baked it using VITA VM9’s pre-installed “First Dentine Bake” program (Figure 9).
Sprinkling porcelain can be considered controversial. I find that it adds an extra bonding layer between the first and second porcelain applications, in addition to sandblasting before staining. Both methods create surface texture for mechanical retention and irregular light reflection. Choosing a highly fluorescent powder also brightens the restoration from within. However, the layer itself first needs to be thick enough to make a noticeable difference.
Results can vary by experience and technique, so experimentation is encouraged to learn and determine an optimal result.
TIP: When firing, a shiny or glossy appearance on a stained surface indicates that the temperature was too high, resulting in a loss of surface texture necessary for mechanical porcelain adhesion. The ideal surface should look slightly rough in texture and underbaked in appearance.
The First Bake
How and where to start layering porcelain depends on the circumstances. If the zirconia substructure is too light, I tend to start by adding chroma in the gingival third. If the substructure is too bright, I might begin in the middle third and focus on adjusting the value before moving on to other details. If I’m happy with my base, I turn my attention to “protecting” (or securing) the illusion of incisal translucency painted on in the previous layer and then focus on highlighting the three planes of an anterior tooth: the gingival (chroma), middle (value), and incisal (translucency or age) thirds (Figure 10)—a concept I learned from Peter Pizzi, MDT, CDT.
Earlier in my experience, I found that much of my internal stain or buildup would go to waste once I began layering dentine and enamel porcelains overtop. This was likely due to the stain being covered with more opacious and/or chromatic materials that masked the intricate details painted on underneath. To avoid this, I have since started covering the stained incisal edge with a thick layer of Window (AKA clear) porcelain (Figure 11), working my way slightly down onto the ridges, where I had previously stained them with ES11 (blue) (Figure 12).
TIP: As a general rule, the more translucent a porcelain, the lower the value will appear. I’ve found that using too much clear ceramic can substantially lower the value of the restoration as a whole. However, value is typically lower around the incisal third, as that is where a tooth generally exhibits the most translucency. Later, I add enamel porcelains on top of the clear layer, but since it will be a thinner coating—just to shape the incisal edge of the crown—it won’t be thick enough to cover up the staining work below.
Once the incisal stains were secured with the Window porcelain, I moved on to establishing the chroma in the gingival third. For this, I used Effect Chroma—specifically, a mix of EC1 and EC2—which I placed above the margin in a wedge-like shape (Figures 13 and 14).
Next, I highlighted the convex areas, since they are the most light reflective. I did this by placing on Effect Liner material—specifically, EL1 mixed with EL2—which together enhance light reflection while complementing the final 2M1 shade. I typically apply Effect Liner material on the ridges and along the height of contour, both of which are the most convex areas of a tooth. With added fluorescence from the Effect Liner material, these areas imitate natural light reflection (Figures 15 and 16).
Then, I placed 2M1 Base Dentine in the middle third of the crown to establish both the base color and the value of the finished restoration. Base Dentine helps establish the foundation of the shade and is slightly more opaque and chromatic compared to Transpa Dentine. I placed a layer in the middle third, above the Effect Liner, and feathered it upward—thinning out the layer as I approach the incisal third—which helps to avoid any harsh transition lines. Keeping both the VITA classical and 3D-MASTER® shade guides in the lab is handy as it takes a lot of the guesswork out of converting shades from one guide to another (Figure 17s and 18).
After completing this step, I baked the crowns using the same “First Dentine Bake” program and parameters that were used for the stain and sprinkle layer. In theory, each bake should be a few degrees lower than the one before it—but this also depends on how thick the subsequent porcelain layer is and how many crowns are being baked at one time, since heat disperses.
The Second Bake
Since the primary focus of the first bake was to establish chroma, value, and translucency—and the crowns were still severely under-contoured, there was not much to trim before the second bake. Comparing the first bake to the shade guide helps determine next steps—whether that involves another thin layer of stain or a mix of ceramic powders to correct or adjust the chroma and value (Figure 19).
For the second bake, I started by layering 2M2 Transpa Dentine in a wedge-like shape in the gingival third to deepen the chroma in that area. I also added another thin layer of Window porcelain in the incisal third to build up the thickness in that region before layering enamel on top (Figures 20 and 21).
Next, I used 2M1 Transpa Dentine and placed it on and slightly above the 2M2 Transpa Dentine, feathering it up into the middle and incisal thirds. This helped achieve a more natural gradient and break up any harsh lines.
Finally, I applied a 1:1 mixture of Effect Enamel 1 and Effect Enamel 2 to create a custom blend. I layered it over the entire tooth, concentrating the bulk of the material in the middle third and thinning it toward the gingival third. In natural dentition, the thickest enamel is typically found in the middle third, which often results in a slightly lower value in that area. Conversely, the gingival third has more dentin, resulting in increased chroma and decreased translucency. I try to replicate this esthetic by mimicking natural layering patterns (Figures 22 and 23).
I baked these crowns using the “Second Dentine Bake” program on the VITA furnace, which runs about 10° cooler than the previous bake.
The Third Bake
After removing the restorations from the furnace and adjusting the contacts, the crowns can be re-evaluated to know where additional adjustments are needed. The basic shape, shade, and value were all now established, but a few areas stood out to my trained eye that needed refinement (Figure 24).
The dentine had not been feathered far enough into the incisal third, resulting in more translucency than desired. My initial goal was to give the teeth a more pronounced, feminine morphology, which required the introduction of curvier line angles. After trimming, the facial surface appeared flatter and more two-dimensional than I wanted. Additionally, although my intention was to avoid matching the grey tone of her existing canines, I didn’t want the crowns to appear too bright either.
To adjust and correct for these issues, I placed 2M1 Transpa Dentine in mamelon-like shapes between the middle and incisal thirds, stretching the shade farther into the incisal area to reduce excessive translucency. I then applied a thin layer of Enamel porcelain (ENL) across the entire surface of the crown, building and reshaping the line angles and height of contour as I went. Both porcelains were mixed with the Glaze Powder formulation of VITA AKZENT Plus, rather than build-up liquid, to allow for precise control and subtle layering effects (Figures 25 and 26).
After refining the contour and line angles, I finished the stack with a small amount of 2M1 Transpa Dentine along the incisal edge, enhancing the morphological character of the crown and deepening the “halo” that had been created earlier (Figure 27).
TIP: Glaze liquid has a higher glycerin content than build-up liquid, giving it a thicker, slightly sticky consistency. When mixed with ceramic, it gives the porcelain a tacky feel, making it easier to pick up with the tip of your brush and place precisely where needed. This is a great technique when building mamelons or other internal effects with porcelain, as you can stack completely different powders side by side—or even on top of each other—without them running or blending together. The only catch? You’ll need to add an extra minute of dry time to your bake, which is a fair trade in my opinion.
External Staining
Once the final correction layer was baked and trimmed, I finished the restoration with an external stain and glaze. I prefer using powder stains because I feel they offer more control over both consistency and color. I always stain and glaze separately to prevent the stains from deforming, running, or mixing.
Patient D wanted clean, natural-looking teeth that matched the crowns she already had, so heavy staining wasn’t necessary. Although simple, the built-up layers had already accomplished much of the work. I reapplied ES02 (cream) along the incisal edge, pulling the color downward slightly with the tip of my brush to create fine crack lines and break up an otherwise solid halo.
To give the restoration a slightly warmer look, I added a touch of ES04 in the gingival third—right at the margin and in the interproximals. This not only created a warmer, more natural gradient, but also gave the restoration some depth in those tight areas, as even a slight darkening in the interproximals can create the illusion of a shadow, visually separating the teeth.
I baked the crowns on a “Fixation” program—a quick bake at a low temperature without vacuum—to adhere the stains to the surface. Once dry, I mixed the Powder Glaze to a thick, honey-like consistency and applied a thin layer to break up surface tension. This is done roughly to fill any micro-porosities.
After making corrections and applying texture with a thin brush and Powder Glaze, I baked the crowns one last time using the “Powder Glaze” setting. This program uses a slightly higher temperature than the Fixation Bake, but it is significantly cooler than any of the porcelain bakes, to prevent any distortion of the porcelain.
TIP: I like working with a thicker glaze consistency because it behaves like porcelain, staying exactly where it’s placed. With a thick glaze, you can easily tighten contacts, sharpen incisal corners, and even add length—especially when mixed with a bit of porcelain.
Most of my texture work is additive, whether using porcelain or glaze. I can create perikymata and more pronounced surface textures in the concave areas of the tooth while keeping the convex areas smoother and more light-reflective. Controlling the consistency—which is far easier with powders than pastes—makes the process more precise (Figure 28).
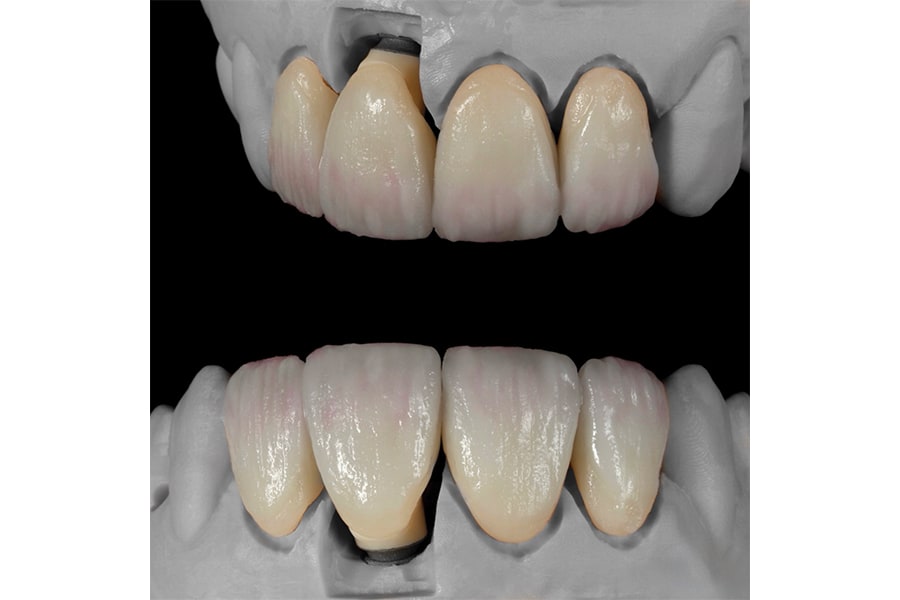
Once the bake was complete, I high-polished the lingual surfaces of the crowns and the tissue-bearing surfaces of the zirconia abutment to promote tissue growth and adaptation. Finally, I cemented the crown onto the zirconia abutment to deliver the final result—a new smile (Figures 29 and 30).
Patient D was thrilled with the result (Figures 31 through 34). Although she couldn’t articulate exactly what she didn’t like about her original crowns, she knew what she liked when she saw it in her final restoration. The dentist delivered the case to a happy patient—one who now has 20 years of smiling to make up for.
Conclusion
Porcelain microlayering is not simply a matter of stacking powders or following a formula—it balances science, artistry, and collaboration. Each case presents its own set of esthetic and functional challenges, and lab techs should learn to accept that highly custom work will often require adjustments along the way.
Experience and experimentation remain essential to mastery. Every bake contributes to a deeper understanding of how materials behave under different conditions. Over time, what begins as trial and error evolves into refined intuition, allowing technicians to achieve predictable results, tailored to each individual patient.
This case also represents the transformative power of dental artistry. When combining experience, empathy, and creative vision, we are able to create a little piece of art that can restore a patient’s dignity and confidence.
About the Author
Dani Krivorot, RDT
Dental Technician
Published Author
Toronto, Canada
@2thmaker
Disclosure: Dani Krivorot, RDT, is an opinion leader for VITA.